ΟΙ ΕΙΔΙΚΟΙ ΑΠΑΝΤΟΥΝ
Ανεμβολίαστοι-Εμβολιασμένοι: Επιπλοκές από τα εμβόλια ή επιπλοκές από τη φυσική νόσηση;
Νέα μελέτη που μας έρχεται από το Ισραήλ, αποδεικνύει με τον πιο σαφή τρόπο, τις πιθανότητες να κινδυνέψει η ζωή ...Νέα μελέτη ΕΚΠΑ: Σοβαρά προβλήματα στην καρδιά αφήνει ο κορωνοϊός 4 μήνες μετά την μόλυνση
Τέσσερεις μήνες μετά το εξιτήριο από το νοσοκομείο οι ασθενείς που νοσηλεύτηκαν παρουσιάζουν σοβαρά προβλήματα στην καρδιά τους, όπως αγγειακή ...Η μετάλλαξη Δέλτα μολύνει τις ηλικίες 20-40 ετών. Ποια είναι η καλύτερη άμυνα
Τα πάνω κάτω έχει φέρει στις προβλέψεις των ειδικών, η μετάλλαξη Δέλτα του Covd-19, που σαρώνει τον πλανήτη. Σύμφωνα με ...ΕΚΠΑ: Το παράδειγμα της Ισλανδίας δείχνει το “φως στο τούνελ” στην πανδημία
Η Ισλανδία αποτελεί μια χώρα στην οποία σχεδόν 9 στους 10 ενήλικες έχουν λάβει τουλάχιστον μία δόση εμβολίου. Το επιτυχές ...Σπίλος, κηλίδα ή μελάνωμα; Πώς να τα ξεχωρίσετε
Η επίσκεψη στο δερματολόγο μετά τις καλοκαιρινές διακοπές μπορεί να μας σώσει τη ζωή καθώς η παρατεταμένη έκθεση στον ήλιο ...Γιατι χάσαμε την ευκαιρία να χτίσουμε το τείχος ανοσίας; Τι θα συμβεί στο μέλλον με ...
Ποια είναι η επόμενη ημέρα με τις μεταλλάξεις του κορωνοϊού; Γιατί χάσαμε την ευκαιρία να χτίσουμε το περίφημο «τείχος ανοσίας»; ...Πέντε λόγοι που το «τείχος ανοσίας» δεν …ολοκληρώθηκε.
Όσο ο εμβολιασμός του πληθυσμού έναντι του SARS-CoV-2 προχωρά, τόσο δημιουργούνται ερωτήματα για το αν η πανδημία αυτή θα λήξει ...Βλεφαροπλαστική: Πως να ανανεώσετε το βλέμμα σας
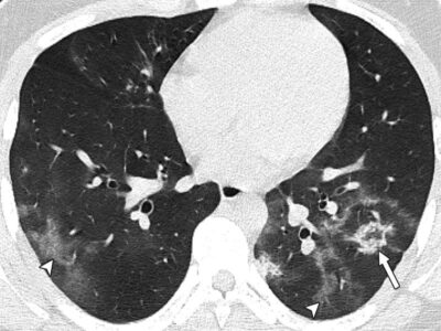
Τα μάτια αποτελούν το κεντρικότερο στοιχείο του προσώπου και συμβάλλουν σημαντικά στην έκφρασή του. Η εμφάνιση των ματιών επηρεάζεται σε ...Μαγιορκίνης: Αξονικές στους πνεύμονες ασθενών από 8 έως 18 ετών δείχνουν τις βλάβες του Covid-19
Τη δύναμη της εικόνας επιστρατεύει o επίκουρος καθηγητής Επιδημιολογίας και μέλος της Επιτροπής Εμπειρογνωμόνων Γκίκας Μαγιορκίνης, για να δείξει τις ...Αιμορροΐδες: Γιατί επιδεινώνονται στις διακοπές;
Επιδείνωση των συμπτωματικών αιμορροΐδων αντιμετωπίζουν πολλοί άνθρωποι κατά τη διάρκεια των καλοκαιρινών διακοπών τους και αμέσως μετά την επιστροφή τους. ...









